症例紹介

小臼歯抜歯が必要といわれた(20代女性)

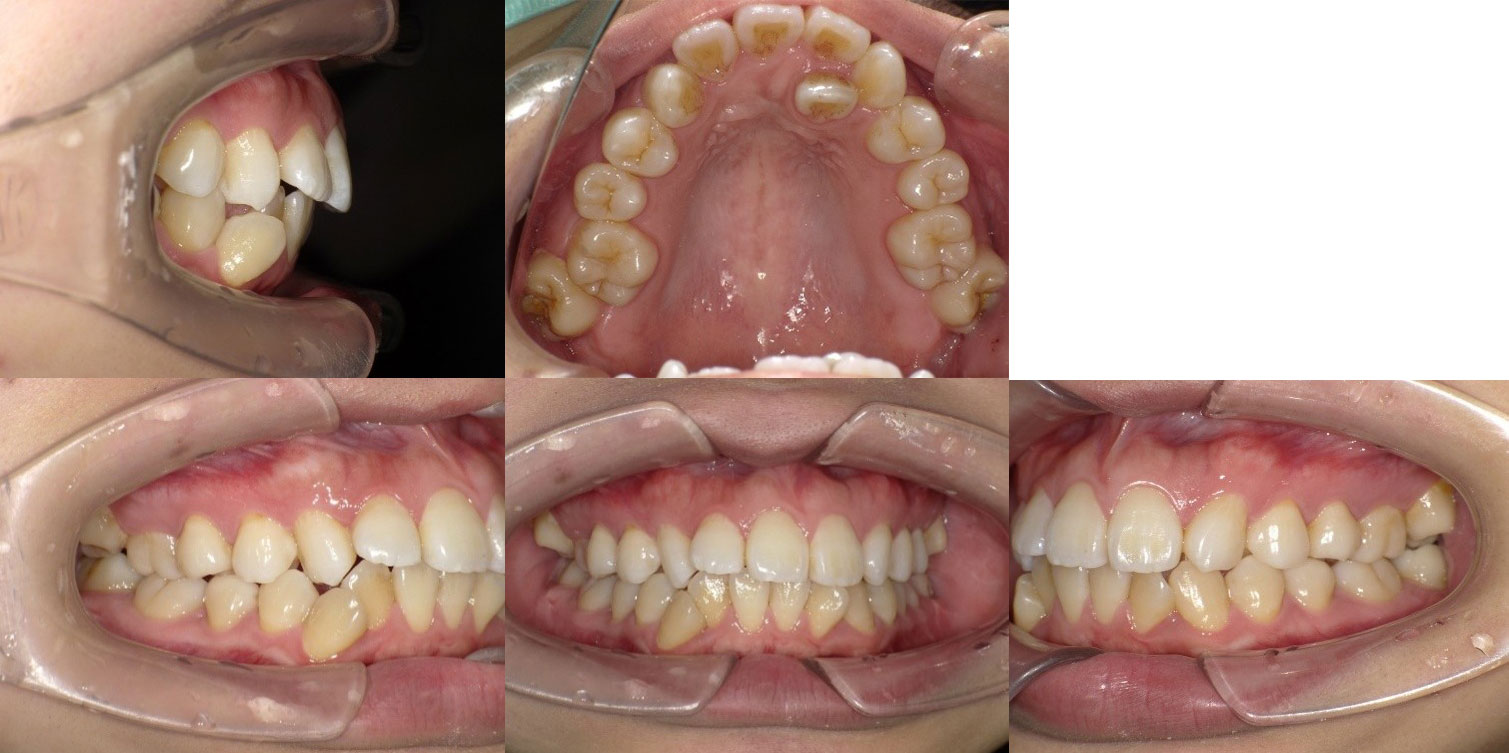
Before
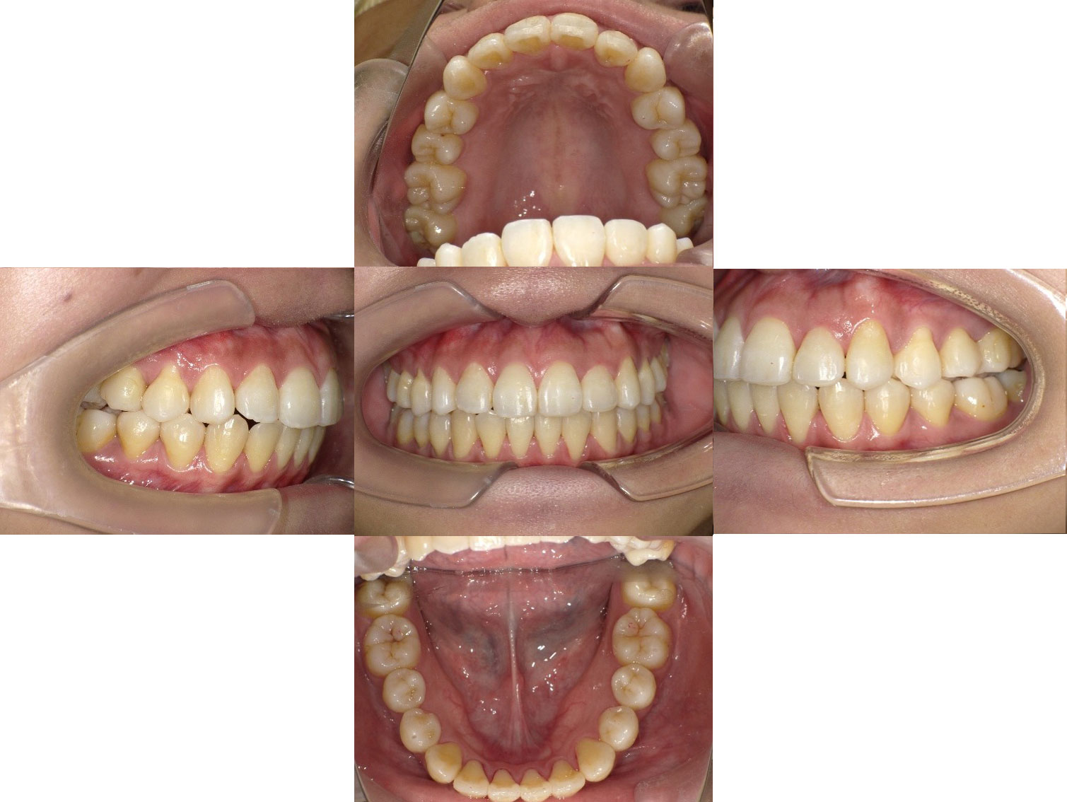
After
患者様 27歳 女性
※矯正治療開始時
患者様のお悩み(主訴) ・歯並びが悪い(見た目)
・矯正専門医を受診したところ、小臼歯抜歯が必要といわれている
・小臼歯抜歯をしていない歯科医院として当院を紹介されて来院
・噛み合わせが悪くて咀嚼に問題があるという自覚はない
・顎関節症状に異常がある自覚は無い
診断 ClassⅡ HighAngle 叢生 顎変位
顎関節に機能として問題あり
左右の動きに差がある
開口量が少ない
治療内容 ・ワイヤーによる全顎矯正
・小臼歯非抜歯
・口腔外科を紹介させていたいて上下左右の親知らずは事前に抜歯
治療期間 52か月(4年4か月)
※途中、出産などあり中断していた時期があります
治療回数 44回
治療のポイント 小臼歯非抜歯
当院の特徴的な治療方針となります。
小臼歯(特に第一小臼歯・犬歯の一つ奥の歯)は、機能的に正常な咬み合わせには絶対必要で抜歯してはいけないという方針で治療を行っています。
実際、小臼歯を抜かないでも、歯の傾斜と咬合平面の適正化により、歯が並ぶスペースが足りていることがほとんどです。
この患者様も、検査の結果、小臼歯を抜歯する必要はないという診断のもと、矯正治療を行い、良好な結果を得ることができました。
ただし、親知らずは矯正治療の妨げになるという判断から、矯正前に4本抜歯しています。
親知らずの抜歯は当院でも行っていますが、かなり難しい症例であるとか、患者様の不安を解消するために大学病院の口腔外科を紹介させていただくこともあります。

上顎側切歯の扱い
全体の歯並びも決して良くないのですが、患者様の一番気にされていたポイントとして上顎左側側切歯(一番前の歯の左隣の歯)が完全に内側に入ってしまってスペースが全くないという点でした。
矯正歯科では第一小臼歯を抜いてスペースを作ったり、内側に入っている側切歯自体を抜歯して並べたりする治療を提案されたそうです。
当院の治療方針において、いずれの歯も抜歯することなく並べることができています。

ワイヤーによる全顎矯正
ワイヤーはゴムメタルという素材のものを使用しています。
従来のワイヤーより歯を動かす力が有効に働きやすく、また屈曲部位を減らすことができ、口の中の違和感が少ないという利点があります。

ブラケット(歯に接着しているチップのようなもの)
前歯を中心に見えるところはできるだけ白いセラミックブラケットを使用しています。
奥歯の方は、力をかける都合上、金属のブラケットを推奨しています。

矯正の期間について
4年という期間がかかっています。これは通常よりも明らかに長い期間がかかっています。
症例として、歯が動くのに時間がかかっているというのもありますが、他の要素として、矯正治療中に出産をされていまして治療を中断している時期がありました。
総合的に見たらまずまず良好な結果と考えています。
患者様のご協力(ちゃんと通院してくれる・自分でかけるゴムなどをしっかりやっていただいた)もあってのことですがスムーズに進んだ結果だと考えています。
また小臼歯抜歯を行った場合よりも期間はおそらく短く済んでいると思われます。
担当 佐藤大樹
費用
検査 診断 治療の説明 57,000円
成人全顎矯正治療費 940,000円
矯正治療調整費用 5,700円/1回(1か月毎に1回)
リスク・副作用
<矯正治療中の一般的リスク>
むし歯・歯周病・歯根吸収・歯髄壊死・歯肉退縮・歯の痛み・知覚過敏・口内炎・顎関節痛・アレルギー反応などが生じる可能性があります。
<装置装着中のリスク(ワイヤー矯正の場合)>
装置の脱落や変形により治療期間の延長が起こる可能性があります。
ご自身でかけていただく顎間ゴムなどの適正な使用ができない場合、治療期間の延長を含め、最良の結果が得られないことがあります。
<後戻りのリスク>
保定装置(リテーナー)の適正な使用ができない場合、矯正後の定期健診にいらっしゃらなかった場合、歯並びが後戻りしてしまう可能性があります。

診療時間

診療時間
9:20~12:30
13:30~18:00
【休診日】日曜日、年末年始、ゴールデンウィーク、お盆、他
※当院は 完全予約制 となっております※

しろきデンタルクリニック

〒168-0064 東京都杉並区永福2-49-6

  • 電話番号

    [TEL] 03-3321-2231
    [FAX] 03-3321-2232

    受付:
  • アクセス

    京王井の頭線「永福町」より 徒歩2分