審美治療
審美歯科治療 ~健康と機能の上に成り立つ、真の美しさを求めて~
「銀歯が目立って、思い切り笑えない」
「歯の色や形がずっと気になっている」
「もっと自然で、美しい口元になりたい」
白く輝く歯、整った歯並び、健康的な歯茎…。
美しい口元は、その方の笑顔をより一層魅力的にし、自信を与えてくれます。
近年、お口の美しさに対する関心はますます高まり、審美歯科治療を希望される方も増えています。
しろきデンタルクリニックでは、皆様の「美しくなりたい」という想いに応えるため、様々な審美歯科治療に取り組んでいます。
しかし、私たちは単に見た目だけを取り繕う治療は行いません。
なぜなら、真の美しさは、健康な歯と歯茎、そしてしっかりと噛める、体に調和した「機能」という土台の上にしか成り立たないと考えているからです。
当院が考える審美歯科治療について、その考え方と具体的な方法を詳しくご紹介します。
審美歯科治療とは美しさと健康を追求する治療
審美歯科治療とは、歯の色、形、歯並び、歯茎の状態など、口元の見た目に関するお悩みを解消し、より自然で美しい口元を実現するための歯科治療全般を指します。
しかし、それは単に表面的な美しさを追求するだけではありません。
むし歯や歯周病といったお口の病気をきちんと治療し、健康な状態を維持すること。
そして、しっかりと噛める、話せるといった、お口が本来持つべき「機能」を損なうことなく、むしろ向上させること。
これら「健康」と「機能」を大前提とした上で、患者様一人ひとりのご希望に合わせて「審美性」を高めていくことが、当院が目指す審美歯科治療です。

このようなお悩みはありませんか?
- 以前治療した銀歯(金属の詰め物や被せ物)が目立つ。
- 歯の色が黄ばんでいる、黒ずんでいる、神経を取って変色している。
- 歯の形が気になる(小さい、大きい、欠けている、すり減っている)。
- 歯と歯の間にすき間がある。
- 歯並びが少しだけ気になる(本格的な矯正治療までは考えていない)。
- 歯茎の色が黒ずんでいる、ラインが不揃い。
- 入れ歯の金属のバネが見えるのが嫌だ。
これらのお悩みは、審美歯科治療によって改善できる可能性があります。
当院の審美治療の根幹にある考え方
美しい口元は、誰にとっても憧れです。
しかし、その美しさを追求するあまり、歯やお口全体の健康、そして機能を犠牲にしてしまうような治療は、決して行うべきではないと私たちは考えます。
なぜなら、機能が伴わない美しさは、脆く、長続きしないからです。
機能と審美の調和を最優先に
当院の審美歯科治療における最大のこだわりは、「機能性と審美性の調和」です。

例えば、前歯に白い被せ物を入れる場合。
見た目の美しさはもちろん重要ですが、それと同時に、
- 隣の歯や下の歯と自然に調和する形か?
- 食事の際に、しっかりと噛み切れるか?
- 発音の邪魔にならないか?
- 顎の動きを妨げず、スムーズに機能するか?
- 周囲の歯や顎関節に余計な負担をかけないか?
といった機能的な側面を徹底的に考慮して設計します。
見た目だけを優先して、噛み合わせや顎の動きに合わない不自然な形の修復物を作ってしまうと、その修復物自体がすぐに壊れたり(割れる、欠ける、取れる)、噛み合わせのバランスを崩して他の歯にダメージを与えたり、顎関節症を引き起こしたりする原因になりかねません。
咬み合わせ(シークエンシャル咬合)を考慮した精密設計

当院では、詰め物(インレー)や被せ物(クラウン)、入れ歯(デンチャー)といった審美的な修復物を作製する際には、必ず**「シークエンシャル咬合」**の考え方に基づき、お口全体の咬み合わせとの調和を考慮した精密な設計を行います。
これは、静止した状態での噛み合わせだけでなく、食事や会話における顎の複雑な動き(顎運動)を考慮し、その動きを妨げず、スムーズかつ効率的に機能する形態を与えることを意味します。
必要であれば、顎運動検査(CADIAXなど)を行い、患者様固有の顎の動きを分析し、設計に反映させます。
機能的に優れた修復物は、結果的に見た目も自然で美しく、そして長持ちするのです。
長期的な安定と健康を見据えて
私たちは、一時的な美しさではなく、治療後も長期的に安定し、患者様のお口全体の健康維持に貢献できる審美治療を目指しています。

そのためには、機能との調和はもちろんのこと、
- 生体親和性
体に優しく、アレルギーなどのリスクが少ない材料を選択すること。 - 清掃性
汚れがつきにくく、患者様ご自身で清掃しやすい形態であること。 - 耐久性
日常的な使用に耐えうる、適切な強度を持つ材料を選択すること。
なども重要な要素となります。
これらの点を総合的に考慮し、患者様にとって最善の治療法をご提案します。
安易に歯を削ったり、神経を取ったりするような、歯の寿命を縮めかねない治療は、審美目的だけでは決してお勧めしません。
精密な診査・診断と、ご希望に寄り添う治療計画
患者様一人ひとり、お顔立ちや肌の色、口元のバランス、そして「美しさ」に対する考え方は異なります。
また、お口の中の状態も様々です。
満足度の高い審美治療を実現するためには、まず患者様のご希望を丁寧にお伺いし、そしてお口の状態を精密に診査・診断することが不可欠です。
患者様の想いを理解するために
「どのような口元になりたいですか?」
「今、何に一番悩んでいますか?」
「治療に対して、どのような期待や不安がありますか?」
私たちは、まず患者様のお話をじっくりとお伺いすることから始めます。
目指すゴールを共有し、信頼関係を築くことが、良い治療への第一歩だと考えています。
お口全体を把握するための精密検査
患者様のご希望を踏まえつつ、客観的なデータに基づいて最適な治療計画を立てるために、以下のような検査を行います。
- 視診・問診
お口の中の状態、歯の色や形、歯並び、歯茎の状態などを詳しく診査し、お悩みやご希望を再確認します。 - レントゲン検査
歯の根の状態、骨の状態、隠れたむし歯などを確認します。 - 口腔内写真
現在の状態を客観的に記録し、治療計画の説明や治療前後の比較に用います。 - 歯周組織検査
歯茎の状態をチェックし、歯周病の有無や進行度を確認します。歯周病がある場合は、審美治療の前に歯周病治療を優先します。 - 咬み合わせ検査
歯の接触状態や力のバランス、顎の動きなどを確認します。必要に応じて、顎運動検査(CADIAXなど)を行い、機能的な分析を行います。 - 口腔内スキャナー(iTero)
光学スキャナーを用いて、精密な歯型をデジタルデータとして取得します。これにより、従来の粘土のような材料を使う必要がなく、患者様の負担を軽減しつつ、より適合性の高い修復物を作製するための基礎データを得ることができます。
ご納得いただける治療計画のご提案
これらの診査・診断結果と、患者様のご希望、そして機能性、審美性、生体親和性、耐久性、費用などを総合的に考慮し、考えられる治療法の選択肢を複数ご提案します。
それぞれの治療法のメリット・デメリット、治療期間、費用などについて、分かりやすく丁寧にご説明し、患者様ご自身が十分に理解し、納得された上で、治療法を選択していただきます。
当院で扱う主な審美修復物の種類と特徴
患者様のお悩みやご希望、お口の状態に合わせて、様々な審美修復材料や治療法の中から最適なものをご提案します。
セラミック治療(オールセラミック)
金属を一切使用せず、セラミック(陶材)のみで作られた修復物を用いる治療法です。す。

【特徴】
- 最高の審美性
天然の歯が持つ、透明感や光の透過性を忠実に再現でき、非常に自然で美しい仕上がりになります。
- 変色しにくい
長期間使用しても、飲食物などによる変色がほとんどありません。
- 汚れが付着しにくい
表面が滑沢で、プラークなどの汚れが付着しにくく、衛生的です。
- 生体親和性が高い
金属を使用しないため、金属アレルギーの心配がなく、歯茎との馴染みも良好です。歯茎が黒ずむこともありません。
- 耐久性
近年、材料の改良により、強度も大幅に向上しています。 【種類と適用】
ハイブリッドセラミック(ハイブリッドレジン)
セラミックの微細な粒子と、レジン(歯科用プラスチック)を混ぜ合わせて作られた素材です。

【特徴】
- 自然な色調
セラミックには劣りますが、天然歯に近い色調を再現できます。
- 適度な硬さ
セラミックよりも軟らかいため、噛み合う相手の歯(対合歯)を傷つけにくいという利点があります。
- 比較的安価
オールセラミックに比べて費用を抑えることができます。
- 金属アレルギーの心配がない
金属を使用していません。
【デメリット】
- オールセラミックに比べると、強度や耐摩耗性、色調の安定性はやや劣ります。長期間の使用で多少の変色やすり減りが起こる可能性があります。
高機能デンチャー(審美的な入れ歯)
入れ歯を使用されている方でも、審美性や快適性を高める選択肢があります。

【種類】
- ノンクラスプデンチャー
金属のバネ(クラスプ)を使用しないため、入れ歯であることが周りに気づかれにくい、審美性に優れた部分入れ歯です。弾力性のある素材で、装着感も比較的良好です。 - 金属床義歯
入れ歯の主要部分(床)を薄い金属で作った入れ歯です。強度が高いため薄く作ることができ、違和感が少なく、食べ物の温度も感じやすいという利点があります。チタンやコバルトクロムなどの金属が用いられます。 【当院のこだわり】 どのような入れ歯であっても、見た目だけでなく、咬み合わせのバランスを精密に設計し、安定してしっかりと噛め、快適に使用できる「機能性」を追求します。
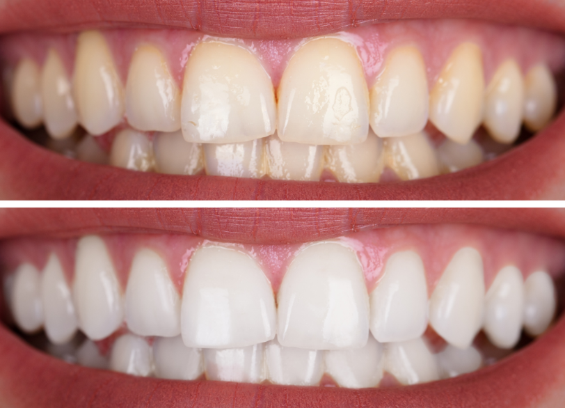
ホワイトニング

歯を削ることなく、専用の薬剤を用いて歯本来の白さを取り戻す方法です。
当院では、ご自宅でご自身のペースで行える「ホームホワイトニング」を採用しています。
(ホワイトニングについては、別ページで詳しくご紹介します。)
歯肉形成(ガムシェイピング)・歯肉メラニン除去
歯茎のラインが不揃いで見た目が気になる場合や、歯茎が被さりすぎて歯が短く見える場合などに、レーザーなどを用いて歯茎の形を整える処置です。
また、喫煙や口呼吸などによって歯茎に沈着したメラニン色素(黒ずみ)を、レーザーを用いて除去することも可能です。
健康的で美しいピンク色の歯茎を取り戻すことができます。
より輝く笑顔のために
口元の美しさは、自信や積極性にも繋がり、人生をより豊かにしてくれる力を持っています。
もし、あなたが歯の色や形、銀歯などでお悩みでしたら、審美歯科治療が一つの解決策となるかもしれません。
しかし、安易に「ただ白くする」「形を変える」だけの治療を選択することは、将来的なリスクを伴う可能性も否定できません。
しろきデンタルクリニックでは、常に**「健康」と「機能」**を最優先に考え、その上で、患者様一人ひとりのご希望に寄り添いながら、**長期的に安定し、体と調和した「真の美しさ」**を追求します。
どのような治療法があなたにとって最適なのか、どのような可能性があるのか、まずはじっくりとお話をお聞かせください。
専門的な知識と経験に基づき、正直に、そして誠実に、あなたにとって最善の道をご提案させていただきます。
一緒に、自信あふれる、最高の笑顔を目指しましょう。